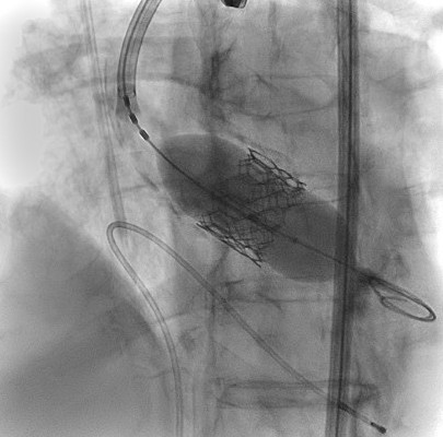
Reintervenția TAVI (Redo TAVI) consta in repetarea procedurii TAVI pentru a trata o valvă implantată anterior care a degenerat, devenind fie stenotică, fie regurgitantă.
În această procedură, o a doua valvă TAVI este plasată în interiorul primei pentru a rezolva disfuncția valvulară. Este o opțiune de tratament în creștere, deoarece pacienții TAVI sunt adesea tineri și au o durată de viață care o depăseste pe cea a protezelor biologice, ceea ce duce la o nevoie crescută de reintervenție.
Cum funcționează: O valvă TAVI nouă este introdusă prin intermediul unui cateter și implantată în interiorul valvei originale deteriorate.
Selecția valvei: Alegerea tipului și dimensiunii protezei sunt cruciale pentru o procedură de succes si planificarea meticuloasă este esențială, inclusiv o înțelegere aprofundată a procedurii TAVI inițiale, a cauzei degenerării valvei și a anatomiei valvei originale pentru a minimiza riscurile.
Desi incidența deteriorarii structurale moderată/severă la urmărirea pe termen lung după TAVI este scăzută, deteriorarea severă fiind chiar mai rară decât cea moderată*, RedoTAVI este o procedură emergentă cu rezultate încurajatoare și devine o alternativă fezabilă la reintervenție pentru acesti pacienții.


